IL TUO SORRISO E' LA NOSTRA PRIORITA'

Cure dentistiche avanzate in un ambiente confortevole e professionale

Scopri di più
Chi Siamo Background

Chi Siamo

Siamo un team di professionisti appassionati, dedicati a offrire esperienze eccezionali e servizi di altissima qualità. La nostra missione è trasformare ogni progetto in un capolavoro, combinando creatività, innovazione e cura per ogni dettaglio.

Scopri di più

Prestazioni

  • Chirurgia Generale

    Quando manca un dente, la soluzione più stabile e naturale è l’impianto dentale. La chirurgia implantare permette di ripristinare funzione, estetica e sicurezza nel sorriso in modo duraturo.
  • Conservativa

    Curare un dente mantenendolo il più naturale possibile è sempre la scelta migliore. La conservativa permette di eliminare la carie e ripristinare il dente, preservandone forma, funzione ed estetica.
  • Endodonzia

    Salvare un dente è sempre la scelta migliore. L’endodonzia, comunemente chiamata devitalizzazione, permette di eliminare il dolore e conservare il dente naturale anche quando la parte interna è compromessa.
  • Igiene e Prevenzione

    La prevenzione è la chiave per un sorriso sano. Nel nostro studio utilizziamo protocolli moderni, indolori ed efficaci per prevenire carie e malattie gengivali e migliorare l’estetica del sorriso.
  • Implantologia

    L’implantologia permette di sostituire uno o più denti mancanti in modo stabile, sicuro e naturale. È una soluzione moderna che restituisce funzione masticatoria, estetica e sicurezza nel sorriso.
  • Ortodonzia

    Un sorriso allineato non è solo una questione estetica. L’ortodonzia migliora la funzione masticatoria, l’equilibrio della bocca e l’armonia del sorriso, a qualsiasi età.
  • Protesi

    Restituire funzione, estetica e sicurezza al sorriso è possibile grazie alle protesi dentali. La protesi permette di sostituire denti mancanti o gravemente danneggiati, migliorando masticazione, fonazione e aspetto del sorriso.
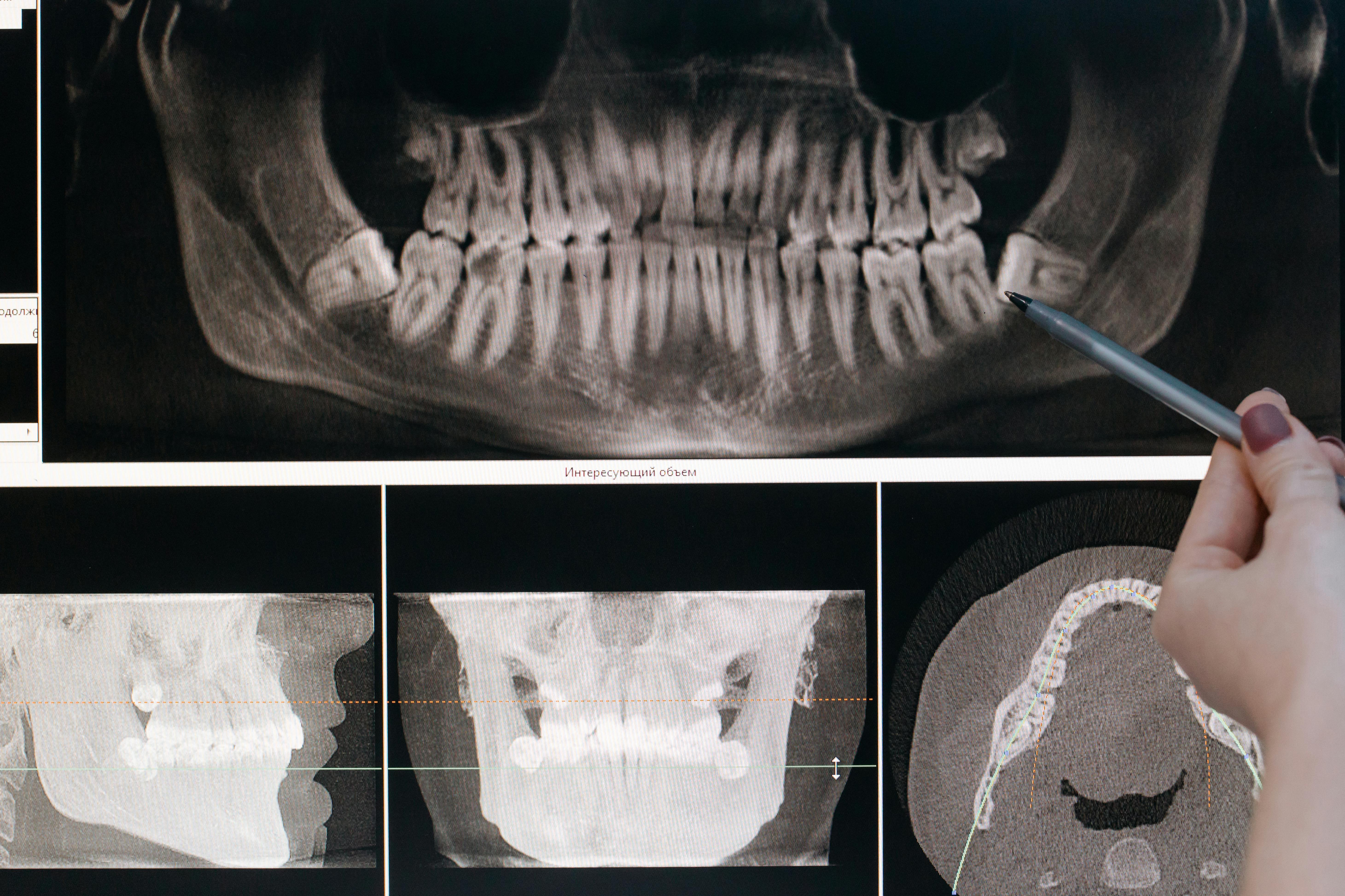
  • Radiologia

    La diagnosi accurata è il primo passo per cure dentali efficaci e sicure. La radiologia odontoiatrica permette di visualizzare ciò che non si vede a occhio nudo, garantendo trattamenti più precisi e personalizzati.
Prenotazione Visita Odontoiatrica
 
 
 
 
 

Richiedi un Appuntamento

Semplice, Rapido e Gratuito

Vuoi prenotare una visita o chiedere informazioni sui nostri trattamenti odontoiatrici? Il nostro staff è a tua disposizione per offrirti supporto personalizzato. Compila il modulo e ti ricontatteremo entro 24 ore per fissare l’appuntamento più adatto a te!